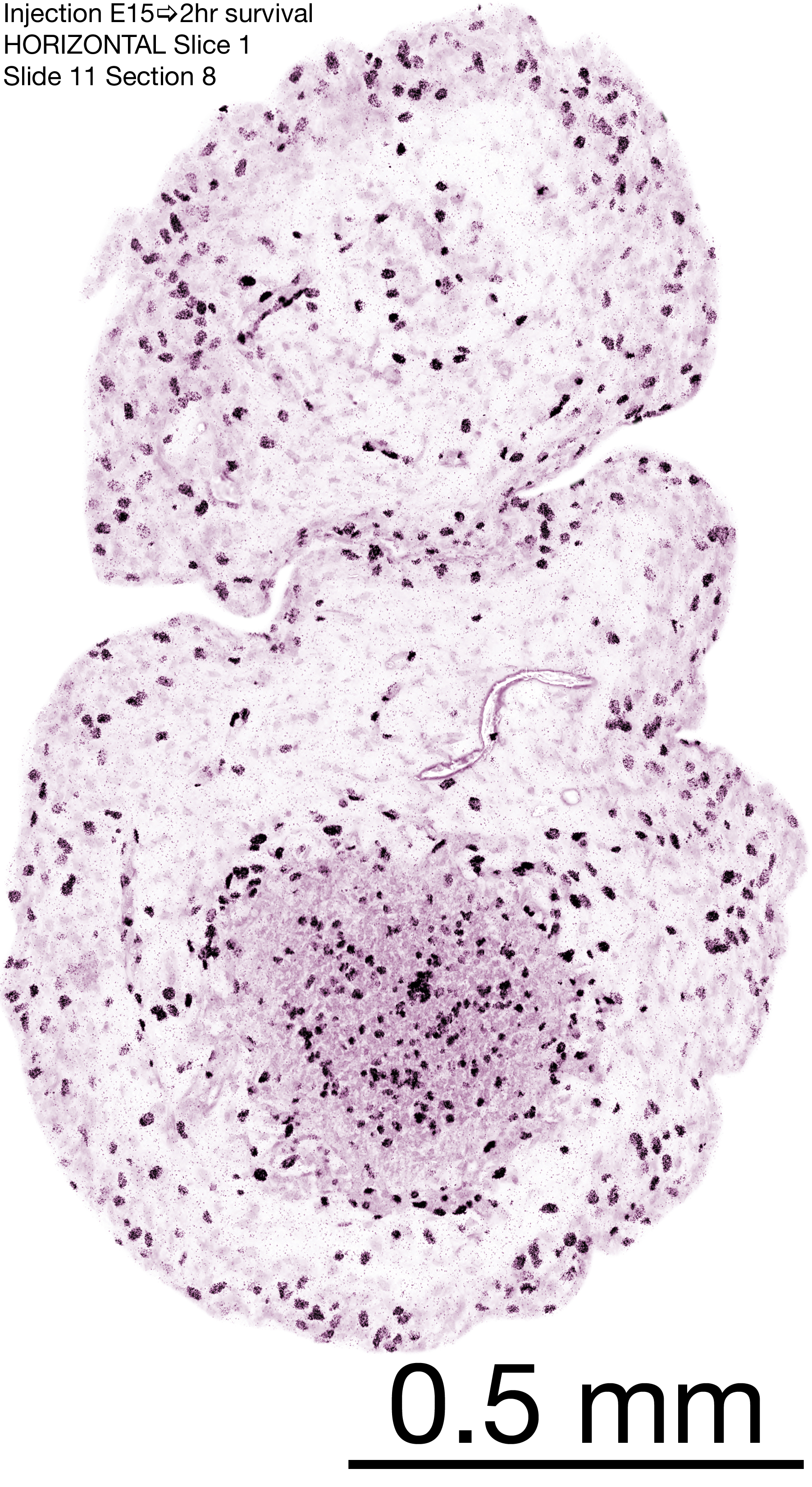
E15 2hr Survival Archived Images-Horizontal The following images are from a paraffin-embedded horizontally-sectioned head of an E15 rat embryo exposed to tritiated thymidine 2 hours before death. Download: Large | High Res Download: Large | High Res Download: Large | High Res Download: Large | High Res Download: Large | High Res Download: Large | High Res Download: Large | High Res Download: Large | High Res Download: Large | High Res Download: Large | High Res Download: Large | High Res Download: Large | High Res Download: Large | High Res Download: Large | High Res Download: Large | High Res Download: Large | High Res Download: Large | High Res Download: Large | High Res Download: Large | High Res Download: Large | High Res Download: Large | High Res Download: Large | High Res Download: Large | High Res Download: Large | High Res Download: Large | High Res Download: Large | High Res Download: Large | High Res Download: Large | High Res Download: Large | High Res Download: Large | High Res Download: Large | High Res Download: Large | High Res Download: Large | High Res Download: Large | High Res Download: Large | High Res Download: Large | High Res Download: Large | High Res Download: Large | High Res Download: Large | High Res Download: Large | High Res Download: Large | High Res Download: Large | High Res Download: Large | High Res Download: Large | High Res Download: Large | High Res Download: Large | High Res Download: Large | High Res Download: Large | High Res Download: Large | High Res Download: Large | High Res Download: Large | High Res Download: Large | High Res Download: Large | High Res Download: Large | High Res Download: Large | High Res Download: Large | High Res Download: Large | High Res Download: Large | High Res Download: Large | High Res Download: Large | High Res Download: Large | High Res Download: Large | High Res Download: Large | High Res Download: Large | High Res Download: Large | High Res Download: Large | High Res Download: Large | High Res Download: Large | High Res Download: Large | High Res Download: Large | High Res Download: Large | High Res Download: Large | High Res Download: Large | High Res Download: Large | High Res Download: Large | High Res Download: Large | High Res Download: Large | High Res Download: Large | High Res Download: Large | High Res Download: Large | High Res Download: Large | High Res Download: Large | High Res Download: Large | High Res Download: Large | High Res Download: Large | High Res Download: Large | High Res Download: Large | High Res Download: Large | High Res