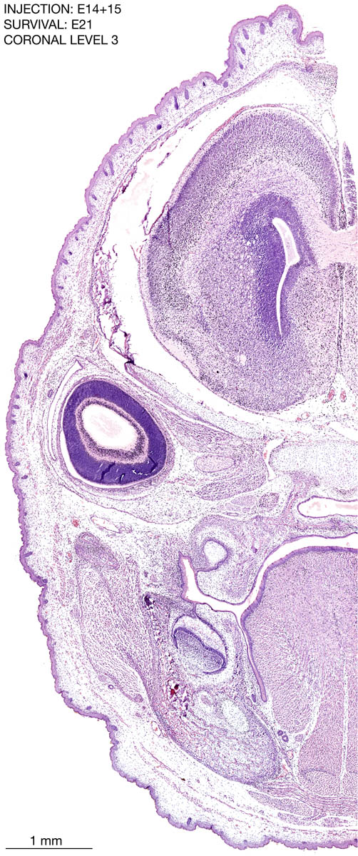
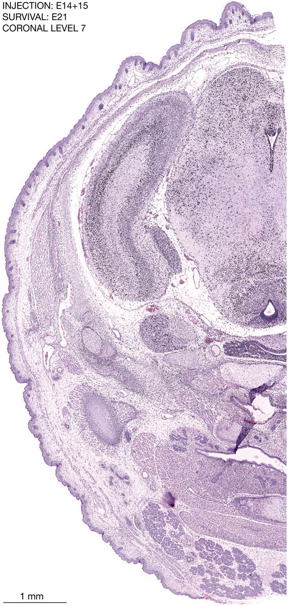
E14+15 to E21 Survival The following images are from one coronally-sectioned brain and one sagittally-sectioned brain of an E21 rat embryo exposed to tritiated thymidine on E14 and E15. Download: Large | High Res Download: Large | High Res Download: Large | High Res Download: Large | High Res Download: Large | High Res Download: Large | High Res Download: Large | High Res Download: Large | High Res Download: Large | High Res Download: Large | High Res Download: Large | High Res Download: Large | High Res Download: Large | High Res Download: Large | High Res Download: Large | High Res Download: Large | High Res Download: Large | High Res Download: Large | High Res Download: Large | High Res Download: Large | High Res Download: Large | High Res Download: Large | High Res Download: Large | High Res Download: Large | High Res Download: Large | High Res Download: Large | High Res Download: Large | High Res Download: Large | High Res Download: Large | High Res Download: Large | High Res Download: Large | High Res Download: Large | High Res