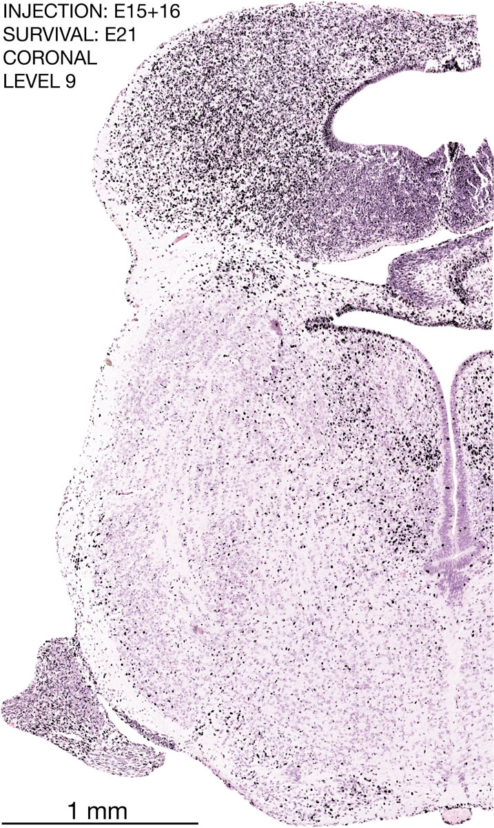
E15+16 to E21 Survival The following images are from one coronally-sectioned brain and one sagittally-sectioned brain of an E21 rat embryo exposed to tritiated thymidine on E15 and E16. Download: Large | High Res Download: Large | High Res Download: Large | High Res Download: Large | High Res Download: Large | High Res Download: Large | High Res Download: Large | High Res Download: Large | High Res Download: Large | High Res Download: Large | High Res Download: Large | High Res Download: Large | High Res Download: Large | High Res Download: Large | High Res Download: Large | High Res Download: Large | High Res Download: Large | High Res Download: Large | High Res Download: Large | High Res Download: Large | High Res Download: Large | High Res Download: Large | High Res Download: Large | High Res Download: Large | High Res Download: Large | High Res Download: Large | High Res Download: Large | High Res Download: Large | High Res Download: Large | High Res Download: Large | High Res Download: Large | High Res Download: Large | High Res