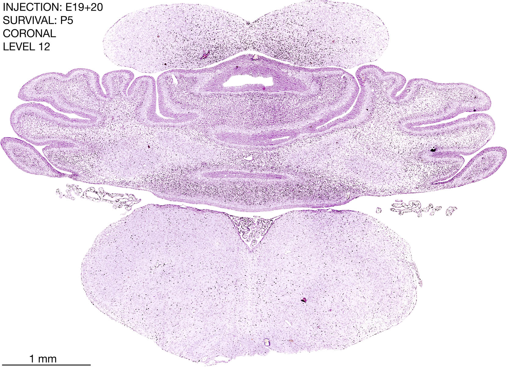
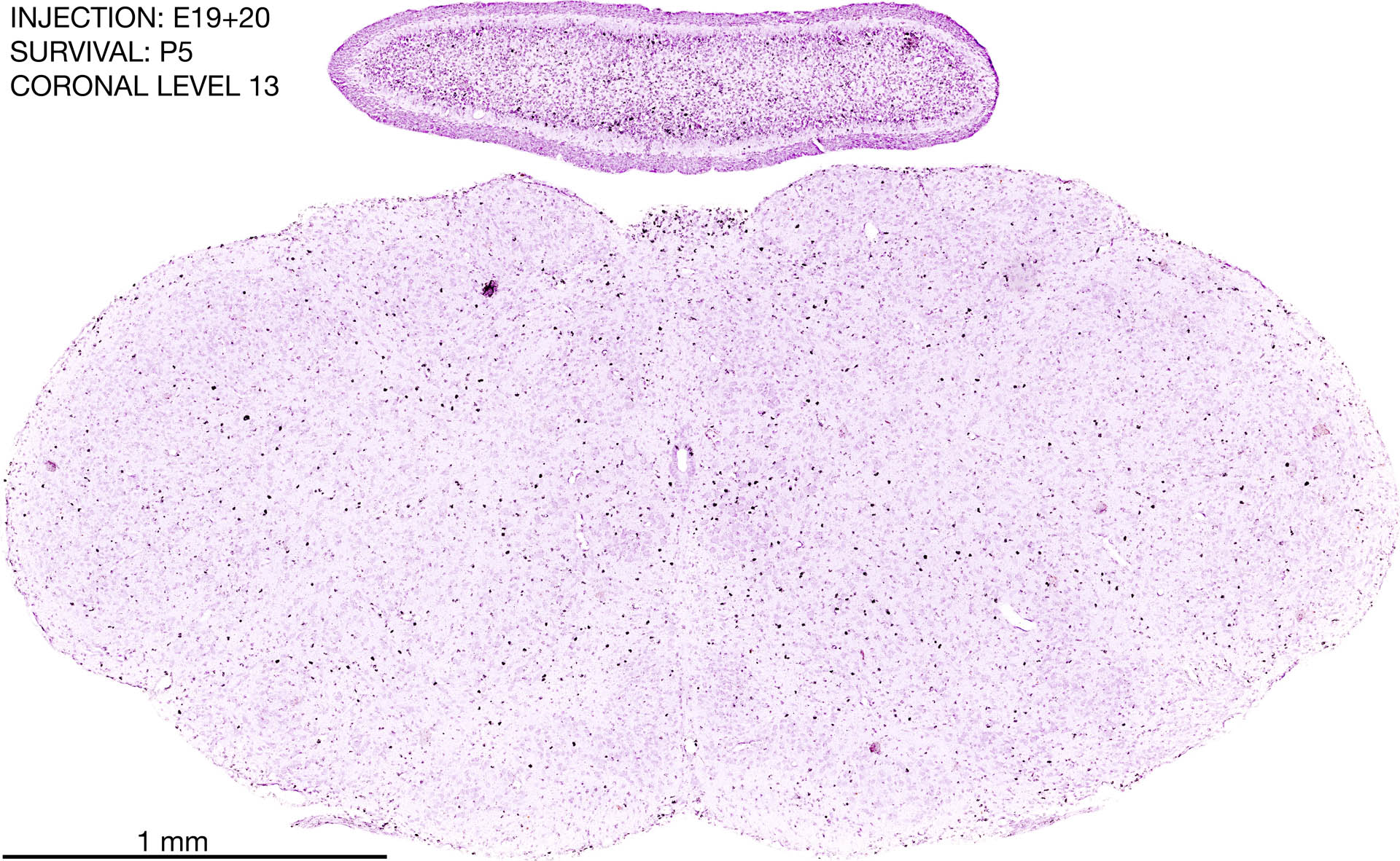
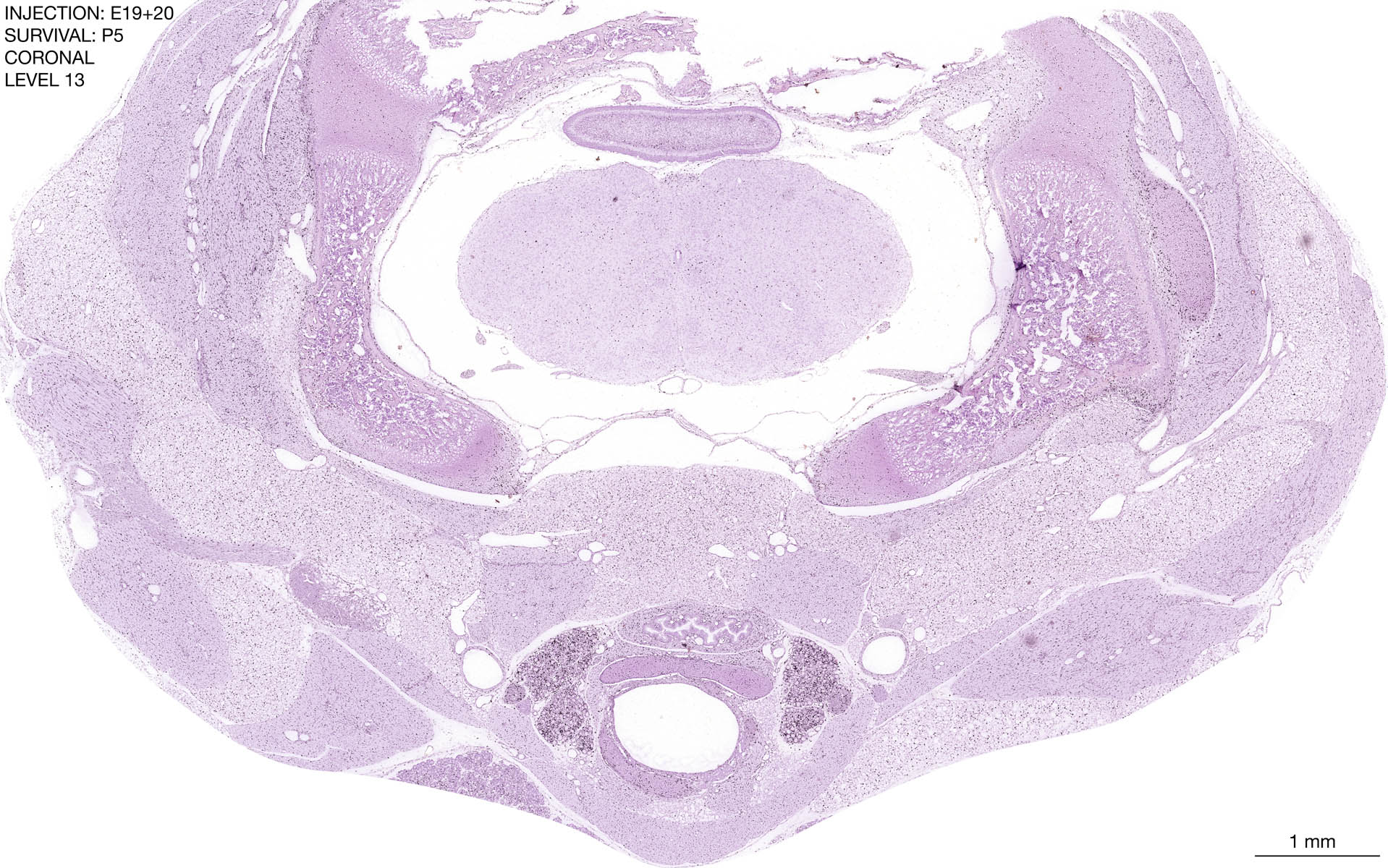
E19+20 P5 Survival The images below are from the brain of a rat that was exposed to tritiated thymidine on E19+20 and survived to P5. Download: Large | High Res Download: Large | High Res Download: Large | High Res Download: Large | High Res Download: Large | High Res Download: Large | High Res Download: Large | High Res Download: Large | High Res Download: Large | High Res Download: Large | High Res Download: Large | High Res Download: Large | High Res Download: Large | High Res Download: Large | High Res Download: Large | High Res Download: Large | High Res Download: Large | High Res Download: Large | High Res Download: Large | High Res Download: Large | High Res Download: Large | High Res Download: Large | High Res Download: Large | High Res Download: Large | High Res Download: Large | High Res Download: Large | High Res Download: Large | High Res Download: Large | High Res